¿TIENE ALGÚN PROBLEMA DENTAL? (511) 225 - 5297

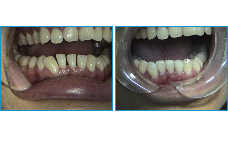
Paciente con ausencia de incisivo inferior, hace que sus dientes se separen.

slide image

Antecedentes

Paciente de sexo femenino que tuvo ausencia de incisivo inferior haciendo que los demás dientes se separen y se desalineen, se hizo CARILLAS DE RESINAS, con buena aceptación de la paciente, ya que disimuló muy bien el defecto.

Resultados

Reservar una Cita

Promociones

© Copyright - Odontoral - Creado por Agencia Zheqa