¿TIENE ALGÚN PROBLEMA DENTAL? (511) 225 - 5297

Odontopediatria

slide image

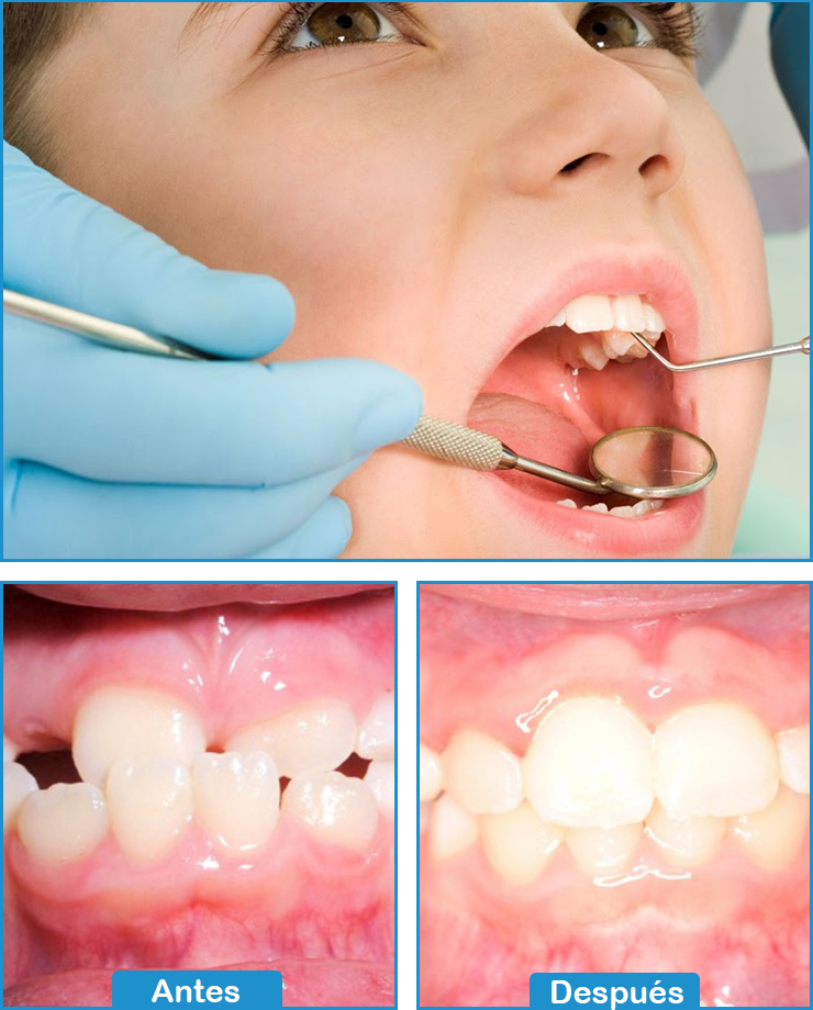
Definición

Es una especialidad de la odontología que se encarga de la prevención y cuidados bucales del infante. En Odontoral contamos con programas de prevención que van a evitar enfermedades tan comunes en los niños como la caries dental, con el uso de sellantes, fluoruros y profilaxis periódicas, así mismo la Odontopediatra motiva a los niños a ingerir alimentos sanos, a una correcta higiene bucal y a visitar la clínica de manera periódica para sus controles. Odontoral ofrece un área especial para atención a los niños, para que estos se sientan motivados a acudir siempre a la clínica.

Beneficios

Reservar una Cita

Promociones

© Copyright - Odontoral - Creado por Agencia Zheqa